Cosmetic Dentistry (Veneers / Smile Correction / Whitening)
Enhances smile aesthetics with advanced dental solutions. Brightens and balances your teeth naturally.
Dental Implant (Conventional / Biological / Zygoma / Pterygoid / Full Mouth Rehab)
Permanent tooth replacement for durability and comfort. Restores natural look and function.
Pediatric Dentistry (Fluoride / Sealants / Space Maintainers)
Preventive care for children’s dental health. Encourages healthy smiles from a young age.
Root Canal Treatment
Removes infection and saves the natural tooth. Restores full chewing function and comfort.
Pulpectomy
Root canal procedure for primary teeth. Relieves pain and preserves the child’s natural tooth.
SSC & Zirconium Crown
Durable, aesthetic crowns for children’s teeth. Ensures protection and long-term stability.
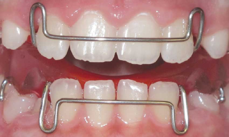
Preventive Orthodontic
Early dental guidance to avoid future alignment problems. Supports natural jaw and tooth growth.
Interceptive Orthodontic
Corrects developing dental issues in growing children. Prevents complex orthodontic problems later.